Procedures

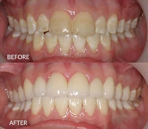
Caroline Before and After

Porcelain Veneers and Laser Gum Contouring

In two weeks, this patient went from what she called a “gummy, gappy smile” and “little teeth” to the smile of her dreams. Our patient said she was self-conscious and wanted her smile fixed. And we knew just how to do that! A little laser gum contouring took care of the “gumminess,” and porcelain veneers…
See Procedure Details
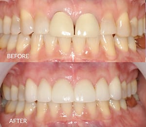
Kimmie Before and After

Upper and Lower Porcelain Veneers

With only two visits, and in only two weeks, our patient had the smile of her dreams. This patient came to us asking for a cosmetic makeover. She didn’t like how small her teeth looked when she smiled, and she wanted them whiter. Not a problem! In only two weeks we were able to add…
See Procedure Details
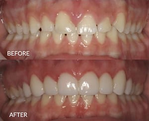
Mona before and after

Upper Front Porcelain Veneers

Unhappy with her appearance, this patient came to us asking for veneers. “My front teeth are too short,” she said. “And too dark. I want to like my smile.” We assured her that veneers were an excellent choice and that we could get started as soon as she wished. It was a two visit makeover.…
See Procedure Details
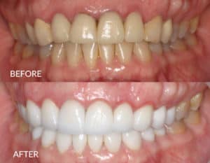
Veneers before and after

Porcelain Veneers

This high school student was full of life. Always smiling and laughing. But she was self-conscious about her discolored teeth. She got bonding done on the front teeth, but the color was fading, which made her front teeth even more noticeable. In consulting with us, we were able to give this patient some good news!…
See Procedure Details