Procedures

Before and After

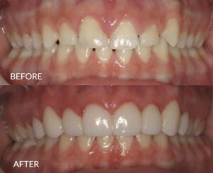
Young Woman Thrilled with Laser Gum Contouring

This young woman came in after seeing the before and after pictures of laser gum contouring on Google search and our website. So she decided to have us do the procedure for her and was thrilled with the results!  
See Procedure Details
Before and After

30 Minute Laser Gum Contouring Improved Smile

This young patient was wanting to make improvements to the appearance of her smile. A quick 30-minute procedure and these are the results!
See Procedure Details
Before and After

Wedding Smile with Laser Gum Contouring

This patient from North Dallas was looking forward to her wedding day but wanted to first get rid of her gummy smile. She said she had never liked the way her smile looked and wanted both the upper and lower teeth done. The procedure took about 30 minutes, and she was absolutely ecstatic about the…
See Procedure Details
Gum Contouring Before and After

Happy With Laser Gum Contouring

We love helping our patients achieve a smile they love! This patient saw our before and after photos of another patient who had undergone laser gum contouring and came in for the same procedure. She was happy with the results! Gum contouring is often also called laser tooth lengthening. It is a procedure that doesn’t…
See Procedure Details
Laser Gum Contouring Before and After

Upper Gum Laser Contouring

This youthful patient found us on the internet and saw all the great laser gum contouring before and afters that we had done. She came in wanting her upper gums laser contoured to help with her gummy appearance that made her self-conscious to smile. We did a consult and our patient decided to stay and…
See Procedure Details
Caroline Before and After

Porcelain Veneers and Laser Gum Contouring

In two weeks, this patient went from what she called a “gummy, gappy smile” and “little teeth” to the smile of her dreams. Our patient said she was self-conscious and wanted her smile fixed. And we knew just how to do that! A little laser gum contouring took care of the “gumminess,” and porcelain veneers…
See Procedure Details