Procedures

Full Mouth Restoration Before and After

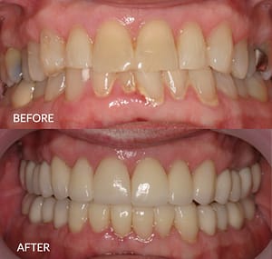
Full Mouth Restoration with Implants and Crowns

For years, this 40-year-old male patient felt burdened by his smile’s alignment, poor health, and appearance, which affected his oral function and self-esteem, and made him a perfect candidate for a full-mouth restoration. Customized to suit a patient’s unique goals and needs, a full mouth restoration is a comprehensive treatment plan that simultaneously elevates your…
See Procedure Details
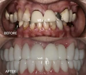
Sherri Before and After

Dental Implants and Crowns

This patient couldn’t chew anything anymore. She was ready to do almost anything to be rid of the pain and be able to eat normally. Even dentures. But nobody really wants dentures. They are notorious for being uncomfortable. They get lost. And the dog sometimes decides to steal them in the middle of the night…
See Procedure Details
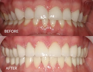
Alex before and after

Bite Rebuild with Porcelain Crowns

This patient came to us with persistent headaches. He said that he grinds and clenches his teeth a lot and wondered if that was part of the problem. Well, his teeth had definitely shortened over the years. And that had also shortened his bite, which could lead to headaches. So we discussed options and determined…
See Procedure Details

Full Mouth Restoration with Crowns and Bridges

Our patient got the smile she was looking for in just 1 month. Her bite was so collapsed that her top teeth completely covered her bottom teeth. It was very hard for her to chew, so she stuck to soft foods. As always with a full mouth restore, our treatment plan was personalized for the…
See Procedure Details
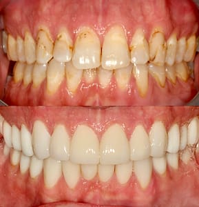
Cloyce before and after

Full Mouth Restoration with Porcelain Crowns

This patient couldn’t chew hard foods anymore. His teeth hurt, and he was tired of it. In his 60s, our patient needed more than just a filling or two for his cavities. He needed a full mouth restoration. Of course, every case of full mouth reconstruction is unique, and requires a customized plan. In this…
See Procedure Details