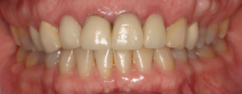
Upper and Lower Porcelain Veneers

Age:

56-60

Procedures:

Dental Veneers

Description:

With only two visits, and in only two weeks, our patient had the smile of her dreams.

This patient came to us asking for a cosmetic makeover. She didn’t like how small her teeth looked when she smiled, and she wanted them whiter.

Not a problem! In only two weeks we were able to add both upper and lower veneers that lengthened her teeth and brightened her smile.

Our patient couldn’t stop exclaiming at the results! She is so happy with her white, full smile.

Procedure Gallery

About the Doctor

Dr. Alhadef portrait

Dr. Gary Alhadef

Dr. Alhadef graduated with honors from the University of Texas with a degree in psychology before moving on to the Baylor College of Dentistry. Over the years, he has augmented his expertise with hundreds of continuing education courses. His numerous memberships add to his professional credibility and expertise, including the American Dental Association, the Texas Dental Association, the Dallas County Dental Society, the American Academy of Cosmetic Dentistry, the American Academy of Implant Dentistry, and the International Association for Orthodontics.

Dr. Alhadef has shared his knowledge with multiple organizations in the form of published writings and public speaking engagements. Highlights from these include a Washington Post article published on dental management and regular presentations to local schools in the Dallas area, Rotary International Meetings, Alpha Omega International Dental.

Dr. Alhadef's greatest joy in dentistry is seeing the transformed smiles and lives of the patients that benefit from his artistic approach to cosmetic dentistry.